Home » Without Label » Angioimmunoblastic T-Cell Lymphoma. / (PDF) Successful treatment of refractory ... : Treatment can be challenging owing to frequent relapses after initial and subsequent therapy.
Angioimmunoblastic T-Cell Lymphoma. / (PDF) Successful treatment of refractory ... : Treatment can be challenging owing to frequent relapses after initial and subsequent therapy.
Angioimmunoblastic T-Cell Lymphoma. / (PDF) Successful treatment of refractory ... : Treatment can be challenging owing to frequent relapses after initial and subsequent therapy.. Angioimmunoblastic t cell lymphoma (aitl) presents in older patients and the median age at diagnosis is approximately 60. The prognosis is generally poor. Treatment options patients with aitl may be treated with a steroid that can temporarily relieve the symptoms caused by the immune system's reaction to the cancer cells, such as joint inflammation or pain and skin rash. Males have a higher incidence than females. Treatment can be challenging owing to frequent relapses after initial and subsequent therapy.
The disease of aitl is mostly found in the elderly (>60) and shows male predominant. Patients often present with a variety. It may be abbreviated atcl and was formerly called angioimmunoblastic lymphadenopathy. Treatment can be challenging owing to frequent relapses after initial and subsequent therapy. The word anioimmunoblastic is derived from the root words 'angio', a term that refers to the blood.
Rashes on the patient with angioimmunoblastic T-cell ... from www.researchgate.net It sometimes causes a rash. People with this lymphoma usually have fever, weight loss, and skin rashes and often develop infections. Treatment can be challenging owing to frequent relapses after initial and subsequent therapy. The disease of aitl is mostly found in the elderly (>60) and shows male predominant. It is slightly more common in men than in women. This lymphoma accounts for about 4% of all lymphomas. It may be abbreviated atcl and was formerly called angioimmunoblastic lymphadenopathy. It is more common in older adults.
The disease of aitl is mostly found in the elderly (>60) and shows male predominant.
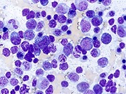
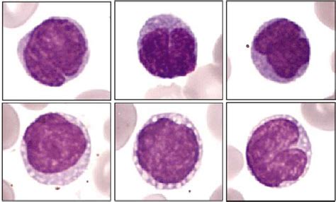
Treatment can be challenging owing to frequent relapses after initial and subsequent therapy. Males have a higher incidence than females. Atcl is more common in the elderly, and the average age at diagnosis is 62. The disease of aitl is mostly found in the elderly (>60) and shows male predominant. Nodal lymphomas are restricted to lymph nodes, and generally do not enter the blood stream, until later stages of the disease lymphoma is a type of blood cancer stemming from uncontrollably dividing lymphocytes (type of white blood cells). The median survival period is reported to be between 1 to 2.5 years. Patients often present with a variety. Treatment options patients with aitl may be treated with a steroid that can temporarily relieve the symptoms caused by the immune system's reaction to the cancer cells, such as joint inflammation or pain and skin rash. People with this lymphoma usually have fever, weight loss, and skin rashes and often develop infections. Aitl accounts for about 13 percent of ptcls. Angioimmunoblastic t cell lymphoma (aitl) is a peripheral t cell lymphoma characterized by systemic disease, a polymorphous infiltrate involving lymph nodes, and a prominent proliferation of high endothelial venules and follicular dendritic cells (who 2008) Angioimmunoblastic t cell lymphoma (aitl) presents in older patients and the median age at diagnosis is approximately 60. Angiofollicular lymphoid hyperplasia (castleman disease), plasma cell type both are clinically aggressive nodal t cell lymphomas arising in similar patient populations both may show large b cell population in a background of small t cells and may be clinically aggressive
The disease of aitl is mostly found in the elderly (>60) and shows male predominant. It sometimes causes a rash. It is slightly more common in men than in women. The prognosis is generally poor. Nodal lymphomas are restricted to lymph nodes, and generally do not enter the blood stream, until later stages of the disease lymphoma is a type of blood cancer stemming from uncontrollably dividing lymphocytes (type of white blood cells).
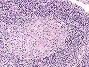
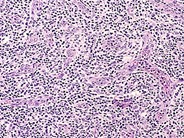
Histopathology images of Angioimmunoblastic T-cell ... from www.pathpedia.com It is slightly more common in men than in women. Atcl is more common in the elderly, and the average age at diagnosis is 62. Treatment can be challenging owing to frequent relapses after initial and subsequent therapy. Angiofollicular lymphoid hyperplasia (castleman disease), plasma cell type both are clinically aggressive nodal t cell lymphomas arising in similar patient populations both may show large b cell population in a background of small t cells and may be clinically aggressive Angioimmunoblastic t cell lymphoma (aitl) presents in older patients and the median age at diagnosis is approximately 60. The disease of aitl is mostly found in the elderly (>60) and shows male predominant. This lymphoma accounts for about 4% of all lymphomas. Treatment options patients with aitl may be treated with a steroid that can temporarily relieve the symptoms caused by the immune system's reaction to the cancer cells, such as joint inflammation or pain and skin rash.
Nodal lymphomas are restricted to lymph nodes, and generally do not enter the blood stream, until later stages of the disease lymphoma is a type of blood cancer stemming from uncontrollably dividing lymphocytes (type of white blood cells).
Angiofollicular lymphoid hyperplasia (castleman disease), plasma cell type both are clinically aggressive nodal t cell lymphomas arising in similar patient populations both may show large b cell population in a background of small t cells and may be clinically aggressive This lymphoma accounts for about 4% of all lymphomas. Treatment can be challenging owing to frequent relapses after initial and subsequent therapy. The history of aitl is much longer and deeper than the literature would suggest given the many names that have preceded it. Angioimmunoblastic t cell lymphoma (aitl) is a peripheral t cell lymphoma characterized by systemic disease, a polymorphous infiltrate involving lymph nodes, and a prominent proliferation of high endothelial venules and follicular dendritic cells (who 2008) The disease of aitl is mostly found in the elderly (>60) and shows male predominant. It tends to involve the lymph nodes and bone marrow as well as the spleen or liver, which can become enlarged. Aitl accounts for about 13 percent of ptcls. It may be abbreviated atcl and was formerly called angioimmunoblastic lymphadenopathy. It sometimes causes a rash. The word anioimmunoblastic is derived from the root words 'angio', a term that refers to the blood. Treatment options patients with aitl may be treated with a steroid that can temporarily relieve the symptoms caused by the immune system's reaction to the cancer cells, such as joint inflammation or pain and skin rash. The prognosis is generally poor.
This lymphoma accounts for about 4% of all lymphomas. Angioimmunoblastic t cell lymphoma (aitl) is a peripheral t cell lymphoma characterized by systemic disease, a polymorphous infiltrate involving lymph nodes, and a prominent proliferation of high endothelial venules and follicular dendritic cells (who 2008) The prognosis is generally poor. It tends to involve the lymph nodes and bone marrow as well as the spleen or liver, which can become enlarged. It may be abbreviated atcl and was formerly called angioimmunoblastic lymphadenopathy.
Histopathology images of Angioimmunoblastic T-cell ... from www.pathpedia.com Angioimmunoblastic t cell lymphoma (aitl) is a peripheral t cell lymphoma characterized by systemic disease, a polymorphous infiltrate involving lymph nodes, and a prominent proliferation of high endothelial venules and follicular dendritic cells (who 2008) This lymphoma accounts for about 4% of all lymphomas. It is slightly more common in men than in women. Treatment options patients with aitl may be treated with a steroid that can temporarily relieve the symptoms caused by the immune system's reaction to the cancer cells, such as joint inflammation or pain and skin rash. Patients often present with a variety. Angiofollicular lymphoid hyperplasia (castleman disease), plasma cell type both are clinically aggressive nodal t cell lymphomas arising in similar patient populations both may show large b cell population in a background of small t cells and may be clinically aggressive Aitl accounts for about 13 percent of ptcls. The disease of aitl is mostly found in the elderly (>60) and shows male predominant.
The history of aitl is much longer and deeper than the literature would suggest given the many names that have preceded it.
Angioimmunoblastic t cell lymphoma (aitl) presents in older patients and the median age at diagnosis is approximately 60. It may be abbreviated atcl and was formerly called angioimmunoblastic lymphadenopathy. The median survival period is reported to be between 1 to 2.5 years. Aitl accounts for about 13 percent of ptcls. This lymphoma accounts for about 4% of all lymphomas. Angioimmunoblastic t cell lymphoma (aitl) is a peripheral t cell lymphoma characterized by systemic disease, a polymorphous infiltrate involving lymph nodes, and a prominent proliferation of high endothelial venules and follicular dendritic cells (who 2008) Treatment can be challenging owing to frequent relapses after initial and subsequent therapy. People with this lymphoma usually have fever, weight loss, and skin rashes and often develop infections. Patients often present with a variety. It tends to involve the lymph nodes and bone marrow as well as the spleen or liver, which can become enlarged. The disease of aitl is mostly found in the elderly (>60) and shows male predominant. The history of aitl is much longer and deeper than the literature would suggest given the many names that have preceded it. The prognosis is generally poor.